Tin tức

Uống một cốc nước này vào mỗi sáng, bạn sẽ không còn lo đau dạ dày

22/11/2017 / Support Bizweb

Có thể bạn chưa tin vậy hãy thử, một cốc nước đơn giản này vào mỗi buổi sáng trước ăn 15 phút sẽ khiến bạn không còn lo lắng bị đau dạ dày. Thành phần: - Nước ép lá đu đủ - 3 muỗng canh - Mật ong – 1 muỗng canh Cho hỗn hợp này vào cốc, khuấy đều tạo thành hỗn hợp và uống vào mỗi buổi sáng, trước ăn 15 phút. Thực hiện như vậy được thường xuyên, bạn sẽ không...

Mùa mơ đến rồi, hãy cùng mổ xẻ công dụng chữa bệnh của quả mơ

22/11/2017 / Support Bizweb

Vào tháng 4 dương lịch hàng năm, người dân lại chia sẻ bài thuốc từ quả mơ, hoặc mua mơ về ngâm muối, ngâm đường, làm ô mai. Chúng tôi đã có cuộc trao đổi với lương y Bùi Hồng Minh về tác dụng của loại quả này. Nhiều tác dụng chữa bệnh Theo nghiên cứu của các nhà khoa học, quả mơ có chứa nhiều loại acid hữu cơ hỗ trợ rất tốt cho việc thúc đẩy quá trình tiết mật,...

Phòng chống ngộ độc sắn

22/11/2017 / Support Bizweb

Tai nạn này được dân gian gọi là say sắn; thủ phạm là chất axit cyanhydric, một chất độc mạnh có thể gây tử vong nếu nạn nhân không được can thiệp đúng cách và kịp thời. Biểu hiện ngộ độc sắn thường xuất hiện vài giờ sau khi ăn loại lương thực này. Bệnh nhân có các triệu chứng rối loạn tiêu hóa (đầy bụng, sôi bụng, buồn nôn, nôn và tiêu chảy) và rối loạn thần kinh (váng đầu,...

Nguy cơ ngộ độc khi dùng thực phẩm chế biến thủ công.

22/11/2017 / Support Bizweb

Kết quả một số loại thực phẩm ăn liền đã cho các kết quả đáng báo động: "Kem ăn: 55,2% không đạt chất lượng (với 75,4 % E.coli; 70,3% Staphaurens), thực phẩm đường phố ăn ngay 87,5% nhiễm vi sinh, nước giải khát lề đường 85,7% không đạt tiêu chuẩn... Ðó là chưa kể thức ăn bị nhiễm thuốc trừ sâu (phun hàm lượng cao, không cách ly với ngày thu hoạch), các chất phụ gia (hàn the, màu công...

Cấp cứu tai nạn do sét đánh

22/11/2017 / Support Bizweb

Khi gặp trường hợp bị sét đánh, nếu nạn nhân vẫn tỉnh thì chỉ cần ủ ấm, cho uống 20 ml rượu và nước chè đường nóng; sau đó đưa đến cơ sở y tế gần nhất để tiêm dưới da cafein 0,25 g và long não 0,2 g với mục đích trợ tim, trợ lực. Sét là những dòng điện rất mạnh ở khí quyển. Khi bị sét đánh, nạn nhân có thể chết ngay do ngừng tim, ngừng thở,...

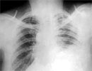
Cách xử trí với dị vật đường thở

22/11/2017 / Support Bizweb

Cách xử trí với dị vật đường thở Chụp X-quang phổi có thể thấy được dị vật. Sự cố dị vật đường thở rất nguy hiểm, nhẹ thì bị ho sặc tím tái, viêm phổi, nặng sẽ tử vong. Nếu không được cấp cứu kịp thời và đúng mức, bệnh nhân có thể tử vong do ngưng thở. Bất kỳ tuổi nào cũng có thể bị dị vật đường thở, song phổ biến nhất là từ 1 đến 3 tuổi, nam nhiều hơn...

Đột tử khi vận động quá mức

22/11/2017 / Support Bizweb

Nguy cơ đột tử trong thi đấu thể thao do vận động quá mức rất hiếm khi xảy ra. Vì thế, khi có trường hợp tai biến như vậy thường gây ấn tượng mạnh. Thực ra đột tử trong thể thao đều có nguyên nhân từ một dị tật bẩm sinh, tiềm tàng, không biểu hiện trên triệu chứng, nên trước đó đã không được phát hiện. Đã có một số tổng kết nghiên cứu kết quả mổ tử thi của...

Làm gì khi bị dị ứng mỹ phẩm?

22/11/2017 / Support Bizweb

Cùng với sự tiến bộ mạnh mẽ của khoa học kỹ thuật, công nghệ làm đẹp ngày nay cũng có những bước phát triển đáng kinh ngạc trong thế giới của đồ mỹ phẩm, trong các cửa hiệu trang điểm, mỹ viện, việc sử dụng tia la-de chăm sóc làn da... tất cả những thành tựu muôn màu sắc ấy nếu được sử dụng hợp lý đúng cách sẽ giúp cải thiện phải đẹp ngày càng đẹp hơn. Tuy nhiên,...

Đề phòng ngộ độc khi ăn măng

22/11/2017 / Support Bizweb

Không nên ăn quá nhiều măng. Ăn măng luộc không kỹ có thể gây ngộ độc cấp với biểu hiện nhức đầu, chóng mặt buồn nôn, trường hợp nặng có thể tử vong. Ngay cả khi đã luộc kỹ, món măng (nếu được dùng thường xuyên)cũng có thể gây ngộ độc mạn tính, khiến cơ thể suy nhược, mệt mỏi, yếu cơ... Nguyên nhân là chất HCN có nhiều trong măng khi vào cơ thể sẽ biến thành chất độc. Trẻ em,...

Nguy hiểm từ ngộ độc thuốc Nam

22/11/2017 / Support Bizweb

ệnh viện đa khoa Lâm Đồng vừa tiếp nhận 3 bệnh nhân trong cơn "thập tử nhất sinh" sau khi uống thuốc Nam. Thực tế, tại các bệnh viện trong cả nước gần đây tình trạng này đang có xu hướng gia tăng, thậm chí có không ít người tử vong. Dưới đây là ý kiến của các chuyên gia  về vấn đề này.  Ngộ độc thuốc Nam đứng hàng thứ 5 Nếu sử dụng thuốc Nam tùy tiện, chất độc ngấm...

Hiển thị tất cả kết quả cho ""